Centro Odontoiatrico
AMALGAMA FREE
Ci avvaliamo dei più moderni servizi di diagnosi e terapia permettendo di raggiungere risultati ottimali i breve tempo a costi controllati.
Lo studio è certificato "AMALGAMA FREE"
Le aree di expertise sono
- Endodonzia
- Conservativa
- Protesi fissa
- Protesi mobile
- Protesi su impianti
- Riabilitazioni implanto-protesiche immediate
- Parodontologia
- Igiene del cavo orale
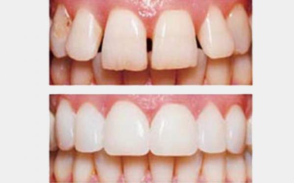
- Sbiancamento dentale professionale





