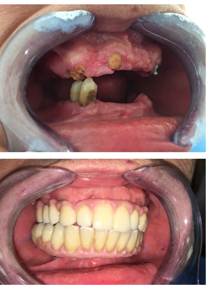
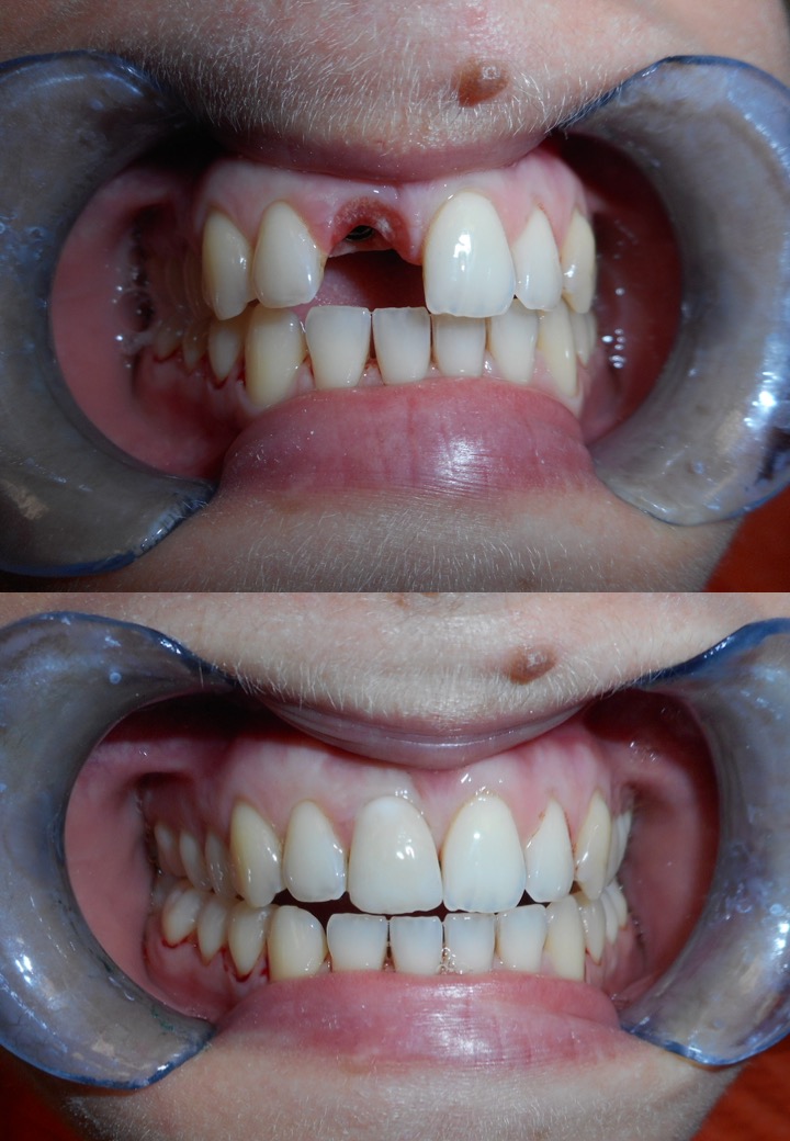
PROTESI FISSA


La protesi dentaria fissa è finalizzata al reintegro dentario nelle zone in cui il numero di denti residui è utile alla costruzione di un ponte oppure nella copertura di un elemento dentario che dopo la devitalizzazione è diventato più fragile.
La protesi consente al paziente di risolvere deficit funzionali, estetici e fonatori. Quando gli elementi dentari residui presenti in arcata sono in buone condizioni di salute, è possibile ripristinare una buona masticazione e un’estetica gradevole limando i denti residui e costruendo una protesi fissa che verrà cementata ai denti naturali oppure, quando necessario, inserendo Impianti endoossei e cementando o avvitando Corone o Ponti su di essi.
Fanno dunque parte delle Protesi Fisse le corone (sostituti artificiali di un solo dente) ed i ponti (sostituiti di più elementi dentari) cementati ai pilastri naturali di sostegno (denti o radici contigui) oppure cementati o avvitati su elementi artificiali (Impianti dentali) ed in ogni caso non rimovibili, fino ad arrivare alle soluzioni più all’avanguardia delle atrofie con dunque grandi volumi da riabilitare, le protesi ibride su impianti, in grado di riabilitare in modo esteticamente e funzionalmente ideale sia l’estetica rosa (tessuti gengivali) che l’estetica bianca (Elementi dentali).

Il dente da protesizzare viene limato fino a ridurlo ad un moncone sufficientemente sottile da poter essere ricoperto dallo strato di metallo e materiale estetico. Le capsule possono essere costruite interamente in metallo, in metallo e resina, metallo e ceramica oppure zirconio e ceramica.

Perché è utile una protesi fissa?
La mancata ricopertura di un dente può comportare la frattura di parti di esso che possono comprometterlo fino alla estrema necessità d'estrarlo. Il mancato riempimento delle zone vacanti comporta per gli elementi residui un movimento nella direzione del vuoto. L'assenza di denti inoltre causa difficoltà nella masticazione e nella fonazione oltre al difetto estetico.

Esistono alternative terapeutiche?
L'alternativa alla ricopertura con una capsula per un dente a rischio può essere la classica ricostruzione. L'alternativa ai ponti è data dall'implantologia che permette di evitare la compromissione irreversibile di elementi che altrimenti sarebbero pilastri del ponte.

È un trattamento rischioso?
Può talvolta accadere la de-cementazione dei ponti e corone che in genere rimangono in sede per le proprietà adesive del cemento tra dente e capsula; ciò accade con una probabilità maggiore per i provvisori. I monconi possono andare incontro a carie qualora la de-cementazione fosse parziale.
Un carico eccessivo incontrollato può in casi estremi causare la frattura dei monconi o delle componenti protesiche stesse.

Quali sono le protesi fisse più all’avanguardia?
Oggi la tecnologia ci ha permesso di portare anche nel mondo delle terapie dentali enormi avanzamenti e nuovi strumenti e merceologie, così in larga misura l’attività dell’Odontotecnico oggi si avvale di Strumenti Computerizzati CAD/CAM (Progetto realizzato al Computer/Lavorazione gestita dal Computer) consentendo innanzitutto l’introduzione in ambito protesico di Standard di tipo Industriale che garantiscono uniformità, affidabilità e ripetibilità nella realizzazione delle strutture delle corone e dei ponti. Inoltre le nuove merceologie utilizzate (Biossidi metallici allo stato sinterizzato) oltre ad essere, quelle certificate, biologicamente neutre consentono risultati estetici ancora superiori a quelli ottenibili con le tradizionali leghe metalliche.

NEL NOSTRO STUDIO VENGONO UTILIZZATI MATERIALI CERTIFICATI DI PRIMA QUALITA'.

Va al proposito ricordato che la diffusione di Zirconia di dubbia provenienza nel mercato Odontoiatrico rappresenta una minaccia per la salute dei pazienti potendo questa essere contaminata da sostanze radioattive.
Oggi queste strutture innovative, realizzate con materiali che, pur essendo a tutti gli effetti dei metalli (ossidi metallici), sembrano a vedersi e si comportano nel nostro organismo in modo molto simile ai tessuti ossei e dentali, possono avvalersi di ceramiche specificamente create per fornire eccezionali risultati estetico-funzionali.