Chirurgia Orale
Neoformazioni benigne del cavo orale
Per osteolisi si intende un riassorbimento della matrice ossea dovuta a fattori differenti.
Nell´osso mascellare e nella mandibola e nella mandibola, nella maggior parte dei casi le neoformazioni osteolitiche sono dovute ad infezioni croniche dei denti. Generalmente il processo di formazione è il seguente: infezione del dente non trattata, granuloma apicale, cisti mascellare. In questo caso la neoformazione osteolitica viene definita come cisti odontogena appunto perchè ha origine dai tessuti dei denti. Esistono anche lesioni non odontogene ma sono un pò più rare.
La patologia colpisce con uguale frequenza maschi e femmine, con una maggiore incidenza tra la III e la VI decade di vita.
Generalmente si tratta di lesioni benigne ma che hanno sempre la possibilità di recidivare. La comunità internazionale attesta la possibilità di recidiva dal 2 al 30% a secondo del tipo istologico della neoformazione.
La terapia è esclusivamente chirurgica. Il trattamento consiste nell´enucleare la neoformazione cistica e nella pulizia accurata del tessuto osseo circostante. Generalmente la cavità non viene riempita con tessuto osseo autologo o artificiale per evitare sovrainfezioni batteriche. la cavità si colma di sangue ed il sangue stesso in circa 4-6 mesi si ritrasforma per opera delle cellule progenitrici in tessuto osseo sano.
Gli elementi dentali coinvolti nella neoformazione debbono essere precedentemente devitalizzati o estratti durante l´intervento.
Tutte le neoformazioni osteolitiche debbono essere sottoposte ad esame istologico per accertarne la natura.
Per lesioni di piccole dimensioni, il trattamento chirurgico può essere eseguito in ambulatorio, per lesioni di dimensioni maggiori o che coinvolgono anche altre strutture (fosse nasali, seni paranasali etc) è opportuno eseguire il trattamento in sala operatoria.
Chirurgia del dente del giudizio

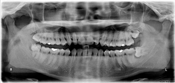
Generalmente si comincia ad avere problemi con i "denti del giudizio" tra i 16 ed i 25 anni.
Gli elementi dentali cominciano a formarsi dai 10 12 anni ed in ortopanoramiche eseguite in quell´età già si possono evidenziare le gemme dentali in via di formazione. Le gemme crescono nel contesto dell´osso ma data la loro localizzazione nella porzione più posteriore delle arcate dentali e formandosi con pochissimo spazio a disposizione possono orientarsi in maniera erronea avendo successivamente limitata o completamente abolita la possibilità di emergere in arcata.
Durante la formazione del dente si forma prima la corona e poi le radici. Nella loro formazione le radici spingono il dente fino a farlo emergere in arcata dentale. Se questo processo di crescita viene alterato perchè il dente trova uno stop, le radici continuano a formarsi ma si angolano e spesso si sviluppano verso il fascio vascolo-nervoso della mandibola.
L´orientamento mesio-angolare è la forma più comune (44%), il dente è inclinato in avanti, verso la parte anteriore della bocca e spinge sul dente precedente con possibilità di spostare gli altri denti o più frequentemente cariare il II molare.
L´orientamento verticale (38%) si verifica quando il dente formato non emerge in arcata ma rimane impattato generalmente sotto il ramo della mandibola.
L´orientamento disto-angolare (6%) è quello in cui il dente è inclinato all´indietro e la corona punta verso il ramo della mandibola;
Infine nel restante 3% dei casi il dente si orienta nella maniera più differente contraendo rapporti spesso molto intimi con strutture vascolari o nervose.
La crescita dei denti del giudizio dovrebbe essere monitorata attraverso una RX ortopanoramica a cominciare dai 16-17 anni. Se si evidenziano anomalie di crescita conviente estrarre tali elementi prima che le radici completano la loro formazione. Generalmente conviene togliere i dneti del giudizio che non riescono ad emergere per via della loro inclinazione tra i 16 ed i 20 anni.
L´intervento chirurgico consiste nei seguenti tempi operatori:
1. lembo mucoperiosteo sulla gengiva per esporre l´osso,
2. fresatura dell´osso per esporre la corona;
3. lussazione ed estrazione dell´elemento dentale. In alcuni casi per evitare il riscio di lesioni sul nervo l´elemento dentale deve essere diviso in più parti ed estratto in piccole porzioni;
4. Sutura del lembo.
Il riscio di lesioni sul nervo alveolare (perdita di sensibilità sul labbro inferiore) e sul nervo linguale (perdita di sensibilità sul bordo linguale) è compresa tra il 2 ed il 5%. È un rischio reale dovuto a vari fattori e non necessariamente a trauma chirurgico.
Altri rischi possono essere fratture della mandibola, infezioni, osteiti, lesioni dei denti vicini. L´estrazione del dente del giudizio è uno degli interventi più ostici nella pratica odontoiatrica e maxillo-facciale, L´intervento deve obbligatoriamente essere eseguito da professionisti esperti. L´esperienza abbassa drasticamente il rischio di complicanze.
L´intervento può essere eseguito in via ambulatoriale e sempre un lato per volta.