Implantologia

Per implantologia (dentale) si intende quell'insieme di tecniche chirurgiche atte a riabilitare funzionalmente un paziente affetto da edentulismo totale o parziale mediante l'utilizzo di impianti dentali ovverosia dispositivi, metallici e non, inseriti chirurgicamente nell'osso mandibolare o mascellare, o sopra di esso ma sotto la gengiva, atti a loro volta a permettere la connessione di protesi, fisse o mobili, per la restituzione della funzione masticatoria. Tali impianti possono essere di diverse forme, inseriti in diverse sedi con tecniche differenti e poi connessi alle protesi con diverse tempistiche.
Attualmente gli impianti sono quasi tutti realizzati in titanio. I più utilizzati sono quelli a vite di tipo endosseo, nella maggioranza dei casi lasciati sommersi sotto gengiva per un periodo congruo in base alla sede. L'implantologia dentale si suddivide quindi in endossea e iuxtaossea, quest'ultima utilizzante solo impianti a griglia con moncone fisso non sommerso e quindi per sede e modalità di carico non osteointegrabili se realizzati in cromo-cobalto-molibdeno, o anche osteointegrabili se realizzati in titanio ed inseriti con apposite tecniche chirurgiche favorenti la neoformazione ossea al disopra della loro struttura.

L'implantologia endossea è al momento la più diffusa, ed utilizza impianti (corpo implantare propriamente detto) di forma cilindrica/conica più o meno filettati all'esterno e con connessione interna a varia conformazione per la parte emergente (moncone) e più raramente cilindri o coni privi di filettatura esterna ma con analoghi sistemi di connessione interna per il moncone, viti piene di un solo corpo (corpo implantare e moncone realizzati dal pieno e quindi senza alcuna connessione) lame ed aghi. In base al protocollo chirurgico avremo quindi implantologia sommersa e non (transmucosa); in base alla tempistica di utilizzo (funzionalizzazione) avremo carico immediato, anticipato, differito.

L'implantologia endossea si divide fondamentalmente in due grandi scuole: quella italiana e quella svedese. L'implantologia di scuola italiana è storicamente precedente, meno diffusa ma concettualmente ancora oggi è altrettanto importante quanto la seconda. Alla scuola italiana si deve l'introduzione del primo impianto specificamente progettato per il carico immediato, l'introduzione del titanio nella produzione degli impianti, l'introduzione dell'area di rispetto biologico sui corpi implantari, il primo protocollo all on six (benché non battezzato in qualche modo) e gli impianti inclinati (Stefano M. Tramonte); la saldatrice endorale (PL. Mondani).

Alla scuola svedese si deve la metodica di "osteointegrazione", sviluppata per primo da Per-Ingvar Brånemark, basata sul carico differito e tesa a rendere più controllabile il successo dell'intervento implantologico: prevede l'utilizzo di impianti endossei a vite ed a connessione protesica, con carico differito, ovvero attesa 3-4 mesi in mandibola e 5-6 in mascella. Il protocollo originale di Branemark è stato variamente modificato così come gli impianti utilizzati, per accorciare i tempi di quiescenza degli impianti ed in definitiva dei tempi generali del trattamento. La scuola svedese ha prodotto importantissime innovazioni sia nella tecnologia di produzione e sia nelle tecniche chirurgiche: adozione dei trattamenti di superficie per i corpi implantari, tecniche di rigenerazione tissutale sia ossea sia mucosa, tecniche di augment sia in senso verticale e sia in senso orizzontale ed in generale tutte quelle tecniche chirurgiche atte a rendere più adeguato il sito implantare all'inserzioni di questi impianti, per loro natura assai meno adattabili alle condizioni anatomiche degli impianti di scuola italiana. Alcune Associazioni scientifiche, come l'ARASS, riconoscono i meriti sia della scuola italiana che di quella svedese.

Il materiale più utilizzato per la produzione di impianti è il titanio, in forma commercialmente pura o nelle sue leghe ad uso dentale, materiale biocompatibile che non comporta reazioni da parte dell'organismo (popolarmente ma erroneamente note come rigetto). Gli impianti, posizionati nell'osso del paziente, verranno fortemente inglobati in esso dai fisiologici meccanismi della rigenerazione ossea, ossia avverrà la osteointegrazione sia in caso di carico differito (scuola svedese) e sia in caso di carico immediato (scuola italiana). Si deve a G. Lorenzon, uno degli esponenti della scuola italiana di implantologia, la definizione di “implantologia funzionale”[1], relativamente all'implantologia transmucosa monofasica a carico immediato. Con il termine “funzionale” s'intende infatti una tecnica implantologica che consenta un recupero immediato e senza limitazione della funzione masticatoria, non tanto con l'obiettivo di imitazione perfetta dell'organo, ma con quello di ricrearne al meglio la funzione. Tale tecnica, in realtà, non differisce per nulla dalle tecniche classiche della scuola italiana se non per il fatto che la barra elettrosaldata utilizzata per meglio garantire la dissipazione e la ripartizione dei carichi masticatori durante il periodo di guarigione, dato che tale metodica utilizza impianti a carico immediato obbligato, non viene rimossa ma lasciata in sito a vita. La cosa, invero, è piuttosto discutibile, soprattutto perché il fenomeno di oscuramento clinico che produce la barra impedisce di fare diagnosi di avvenuta osteointegrazione prima di passare a confezionare e montare la protesi definitiva.

L'oro-platino-ceramica, tecnica diffusa in passato, prevedeva un perno in oro galvanico titolato in oro almeno al 98% (oro puro 24 carati) con un residuo di platino e/o palladio senza il quale l'oro resterebbe troppo malleabile e inadatto come materiale protesico, sul quale si applica una corona in ceramica di tipo core (ceramica pressofusa), che eventualmente si poteva sostituire in caso di successiva rottura.

Storia
La storia dell'implantologia affonda le sue radici nella notte dei tempi e non sappiamo esattamente quando brillò per la prima volta l'idea di inserire un dente artificiale in un alveolo per sostituire un dente perso. Quel che è certo è che si fece. Ci giungono dall'antichità reperti archeologici interessantissimi che testimoniano di inserzioni di pezzi di conchiglia lavorata, minerali o osso. In epoca più recente, nel XIX secolo, si moltiplicarono i tentativi di realizzare interventi implantologici ma l'inadeguatezza dei materiali, delle tecniche chirurgiche, dei mezzi anestetici, l'assenza di antibiotici e la totale mancanza di cognizioni occlusali, ne decretarono ineluttabilmente il fallimento. Nella prima metà del Novecento si assiste invece ad un grande fiorire di tentativi decisamente più concreti e numerosi brevetti.

Da ricordare il brevetto di Adams del 1938 del primo impianto sommerso, assai simile a quello successivo di Branemark e le esperienze di Formiggini considerato da alcuni il padre della moderna implantologia (1947). Nel 1961 comparve il primo impianto specificamente progettato per il carico immediato (Stefano Tramonte) dotato di area di rispetto biologica e nel 1964 fu introdotto il titanio in implantologia (Tramonte). Tra gli anni sessanta e settanta comparvero gli importanti studi istologici di Pasqualini. Nel 1972 Garbaccio elaborò la teoria del bicorticalismo e progettò il relativo impianto. Nel 1975 Mondani ideò la saldatrice endorale (sincristallizzatrice). Il metodo di saldatura tramite la sincristallizzatrice è stato ulteriormente migliorato dal prof. Giorgio Lorenzon a partire dal 2004 con successivi brevetti europei. Tali migliorie dovrebbero consentire di evitare l'ossidazione del titanio in fase di saldatura attraverso l'utilizzo di gas inerti.

In realtà, non essendo realmente una saldatura, l'utilizzo dell'argon risultava inutile e complicava enormemente le cose, comportando altresì costi di acquisto e di esercizio altissimi. Alla fine degli anni settanta, grazie agli studi sull'osteointegrazione si diffuse l'impianto sommerso di Branemark, che risolveva alcuni problemi protesici degli impianti a carico immediato. Da quel momento l'implantologia sommersa si diffuse largamente per la facilità, fino ad allora sconosciuta, con cui anche operatori inesperti potevano iniziarsi all'implantologia; gli impianti sommersi si moltiplicarono e modificarono a ritmo velocissimo nel tentativo di correggere alcuni difetti cronici che li affliggevano nonostante il grande successo ottenuto. Collateralmente all'implantologia andava nel frattempo sviluppandosi la chirurgia ricostruttiva in grado oggi di risolvere molti dei problemi ossei che limitavano grandemente l'uso degli impianti sommersi. L'implantologia moderna, sia essa di carico immediato o di carico differito, è disciplina largamente sperimentata ed affidabile, in grado di risolvere quasi tutti i problemi di edentulismo, funzionali o estetici che siano.

Metodiche di implantologia
Un impianto è l'alternativa più moderna della sostituzione dentale permanente. Le metodiche di implantologia prevedono principalmente due tecniche chirurgiche:

two stage: in due fasi, la prima "sommersa", ovvero con inserimento dell'impianto, sutura sottomucosa e successiva riapertura della mucosa dopo 2-6 mesi ed avvitamento del"pilastro dentale" sull'impianto;
one stage: inserimento dell'impianto, che viene lasciato transmucoso, emerge la testa dell'impianto, si potrà così o lasciare guarire (sempre per 2-6 mesi) per integrazione ossea o caricare immediatamente, con apposito pilastro dentale, in modo provvisorio o definitivo, a seconda dei casi. Naturalmente gli impianti monoblocco sono obbligatoriamente impianti one stage a carico immediato.
Carico immediato moderno - innovazione e tendenza del mercato
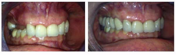
L'aumento globale dei problemi di edentulismo totale o parziale collegato all'aumento dell'età media nei paesi più sviluppati e non solo, come certificato dall'Organizzazione Mondiale della Sanità, mentre da un lato denota il fallimento almeno parziale delle metodiche preventive dall'altro porta ad un aumento della richiesta di sostituzione totale della dentatura compromessa. Tutto ciò si unisce, almeno nel mondo occidentale, a richieste di trattamenti pur invasivi ma rapidi e indolori.

Il più famoso trattamento di questo tipo è stato sviluppato dal Prof. Paulo Malo in collaborazione con la Nobel Biocare e prende il nome di
All-on-4®. Il trattamento in termini di risultato finale è analogo a uno dei trattamenti più innovativi della storia dell'implantologia osseointegrata, il cosiddetto "Toronto Bridge", che prende il nome dalla conferenza di Toronto del 1982 in cui il concetto del ponte fisso sostenuto da impianti osteointegrati ideato dal Prof. Per-Ingvar Brånemark dell'Universita di Göteborg per risolvere il problema dell'edentulismo mandibolare, osteggiato per anni dai colleghi di Brånemark stesso, fu introdotto finalmente con enorme successo al mondo accademico nordamericano dal Prof. Zarb dell'Università di Toronto. Ovviamente il trattamento moderno offre tutta una serie di vantaggi in termini di tempi, materiali e applicabilità della tecnica.

Esistono naturalmente anche trattamenti simili o del tutto analoghi su piattaforme implantari proposte da altri produttori che hanno copiato la tecnica originale proposta da Paulo Malo. In Italia una realtà importante è costituita dal produttore Sweden&Martina, che, pur non appartenendo alle tre case principali di impianti dentali, è in forte espansione per la qualità dei suoi prodotti e forte dello slancio del suo fatturato anche verso mercati esteri.

Un protocollo simile a quello dell'All-on-4® è quello proposto dal team del Prof. Pera con il Columbus Bridge Protocol, con innovazione soprattutto per quanto riguarda i materiali protesici. Il Columbus Bridge Protocol, così come l''All-on-4® sono protocolli con un'ampia documentazione scientifica alle spalle. Tutto questo dovrebbe portare ad una maggiore sicurezza per i pazienti.


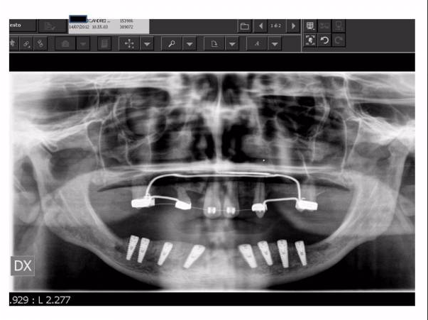
Lo schema con impianti inclinati nell'arcata mandibolare (inferiore) per evitare i forami mentali e ottenere in ogni caso un considerevole stabilità primaria per il carico immediato.
Le soluzioni più moderne rispetto al Toronto Bridge originale prevedono un trattamento abbastanza simile tra le due arcate. Gli impianti, se necessario, si inseriscono non paralleli tra loro ma con una inclinazione di circa 30° allo scopo di evitare i forami mentali nell'arcata inferiore e i seni mascellari nell'arcata superiore: l'obiettivo è ottenere una buona stabilità primaria degli impianti (necessaria anche per il carico immediato) anche in assenza di struttura idonea nelle zone posteriori evitando trattamenti più complessi con innesti di osso. Il posizionamento disparallelo/inclinato prevede necessariamente una componentistica del sistema implantare che permetta successivamente la protesizzazione degli impianti disparalleli. Infatti per gli impianti inclinati è prevista un protesizzazione con doppio moncone, un primo inclinato rispetto all'asse lungo dell'impianto (generalmente di 17°, 30° o addirittura 40-45°) ed un secondo in asse con l'emergenza del primo.

Legittimazione professionale
Normalmente sono il chirurgo Maxillo Facciale, l'odontoiatra, cioè il laureato in Odontoiatria e Protesi Dentaria, o il medico, laureato in Medicina e Chirurgia che si occupano di implantologia dentale. in Italia esiste la figura professionale dello specialista in chirurgia odontostomatologica; in Francia, per esempio, esiste il "Diploma Universitario di Chirurgia e Protesi Implantare (DUCPI); per cui è sconsigliato che il dentista non specializzato superi la barriera naturale del seno mascellare per posizionare impianti. La chirurgia preprotesica e preimplantare, cioè la preparazione dell'osso alveolare alla protesi ed all'inserimento degli impianti dentali sono effettuate dal dentista (odontoiatra o medico chirurgo) o dal medico chirurgo specialista in chirurgia odontostomatologica o maxillo-facciale. Il piano generale di ogni riabilitazione implantoprotesica è comunque di esclusivo appannaggio dell'odontoiatra, inteso come iscritto all'Albo Odontoiatri. Trattandosi di interventi chirurgici di alta specializzazione, è buona norma verificare che il professionista che dovrà eseguirli possieda una formazione ed un'esperienza adeguate oltre alle abilitazioni necessarie, controllando sul portale della Federazione Nazionale degli Ordini dei Medici Chirurghi e degli Odontoiatri (FNOMCeO).

La legge italiana prevede che al cliente sia rilasciata gratuitamente la scheda di sicurezza del materiale applicato per l'implantologia. Alcuni dentisti, a loro discrezione, rilasciano una garanzia scritta da 1 a 5 anni, a volte condizionata al fatto che il cliente continui a sottoporsi presso il loro studio a visite periodiche di controllo e di igiene dentale.

Protocolli operativi
L'"implantologo" odontoiatra e/o chirurgo quindi crea una sede nell'osso del paziente (in corrispondenza del nuovo dente da sostituire o da immettere ex novo), attraverso una serie di frese ossee calibrate, per inserire successivamente un impianto dentale endo-osseo. Perché l'impianto si osteointegri è necessaria una buona stabilità primaria, mobilità nulla o dell'ordine di pochi micron (secondo Brunsky e Coll.). L'interfaccia osso-impianto è quindi dell'ordine dei millimicron, altrimenti l'impianto non regge al carico e deve venire rimosso.

Secondo alcuni implantologi (Linkow) può essere accettabile per il successivo carico con una corona anche la fibrointegrazione (fenomeno di inclusione difensiva dell'organismo che ingloba il corpo estraneo in una capsula fibrosa). Tecnicamente l'impianto è fallito e l'intervento chirurgico non ha avuto successo, ma in alcuni casi si possono realizzare permanenze di impianti fibrointegrati per anni e con piena soddisfazione del paziente. Ciò nonostante, la fibrointegrazione rappresenta un insuccesso.

Attualmente, gli impianti più utilizzati sono quelli di scuola svedese, inseribili con protocollo di carico differito, con superfici trattate con varie tecnologie, per favorire il migliore controllo di tutti i parametri ed il più alto grado di predicibilità del successo implantare. In genere il carico masticatorio con protesi fissa avviene in un secondo tempo, dopo 3/4 mesi per la mandibola, dopo 5/6 mesi per il mascellare superiore. In alcuni casi, ma non in tutti, è possibile anche un carico immediato degli impianti, per poter fare ciò occorre però il rispetto di alcuni fondamentali criteri:

la presenza di una certa quantità di osso,
la stabilità primaria degli impianti una volta inseriti,
un buon supporto parodontale (gengivale),
l'assenza di bruxismo (digrignamento dentale) o grave malocclusione,
la presenza di un buon bilanciamento occlusale (corretto piano occlusale masticatorio).
Occorre chiaramente anche una seria valutazione dello specialista, che dovrà valutare con opportuni esami e strumenti la coesistenza di tutti questi fattori; altrimenti la scelta cadrà su una tecnica "tradizionale" (di tipo "sommerso" o "non sommerso"), ovvero con impianti che necessitano di un tempo di attesa più lungo, ma più sicuro, per il carico masticatorio.

Gli impianti di scuola italiana a carico immediato, e le relative tecniche chirurgiche, dànno percentuali di successo sovrapponibili a quelle ottenute col carico differito, ma comportano una curva d'apprendimento più lunga e richiedono maggiore esperienza. Mettono però il paziente in grado di avere denti provvisori fissi già alla fine della seduta chirurgica d'inserzione implantare anche in quei casi in cui con impianti di scuola svedese si sarebbe costretti a realizzare il carico differito.

Gli impianti hanno una vita pressoché illimitata (gli studi più lunghi hanno 25 anni), se viene effettuata una quotidiana manutenzione: il rischio più grosso che corrono gli impianti è dato:

nell'immediato post intervento, dalla peri-implantite, ossia un'infiammazione ed infezione delle strutture attorno all'impianto, con conseguente non avvenuta osteointegrazione;
da uno scorretto carico degli impianti stessi, con corone o protesi non corrette, che possono creare un riassorbimento osseo nel tempo, con perdita dell'osso sino alle spire più profonde dell'impianto, con possibilità di perdita dello stesso. Per scongiurare questi possibili insuccessi implantari è necessario quindi una buona protesi, fissa o mobile, ben bilanciata dal punto di vista dell'occlusione (corretto equilibrio occlusale), avere una buona igiene orale quotidiana ed effettuare visite di controllo periodiche.
Va anche detto che il fumo, il diabete non compensato ed alcuni farmaci tra cui i comuni antidepressivi appartenenti alla famiglia degli SSRI possono compromettere sia l'osteointegrazione sia la durata degli impianti.

Gli impianti possono sostituire un dente singolo (corona su impianto), un gruppo di denti ravvicinati (ponte su impianti), un'intera arcata dentaria, oppure possono servire a stabilizzare una protesi totale superiore o inferiore (overdenture)