Implantologia a carico immediato
Finalmente un bel sorriso in poche ore. L’implantologia a carico immediato.
L’implantologia a carico immediato permette di avere denti fissi subito, infatti a Differenza dell’implantologia dentale tradizionale nella quale si devono aspettare 3 o 4 mesi tra l’inserimento degli impianti ed il posizionamento della protesi, i tempi di attesa sono eliminati e si potranno avere subito i nuovi denti.
Il carico immediato consente di intervenire per un singolo elemento, per più elementi distinti e per intere arcate complete. Per una intera arcata sono sufficienti da quattro a sei impianti per riabilitare completamente la funzione estetica e masticatoria a seconda che si tratti di mandibola o di mascellare superiore.
Questa tecnica però non è adatta a tutti, ma nelle nostre mani avrete la garanzia di poter raggiungere il vostro sogno.
Per poter procedere con l’intervento a carico immediato è necessaria una valutazione del Prof. Giulio Gasparini specialista in Chirurgia Maxillo Facciale che mediante una prima visita iniziale, eseguendo un’ anamnesi ed esami radiografici preliminari, è in grado di determinare se ci sono le condizioni favorevoli dell’osso, in cui verranno inseriti gli impianti. Da questo momento l’esecuzione degli impianti a carico immediato e alla consegna dei vostri nuovi denti è solo una questione di poco tempo.


Un normale intervento di carico immediato si suddivide in tre fasi ben precise:
I Fase o studio del caso: con l'ausilio di impronte preliminari, grazie all'ausilio di speciali dispositivi digitali, verrà creata una ceratura diagnostica, ovvero una riproduzione digitale di come dovrà essere il vostro sorriso finito in termini di estetica e funzione, presentazione del caso al paziente, eventuali modifiche ad estetica e funzione saranno possibili in questa fase;
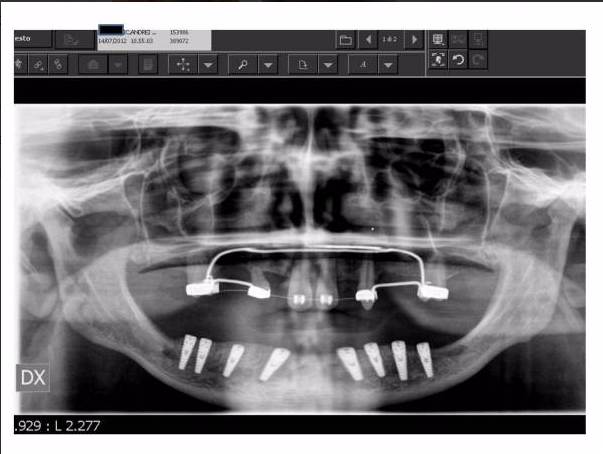
II fase o tempo dell'inserimento degli impianti: in questo tempo terapeutico si procede all’inserimento di impianti in titanio nelle zone edentule delle ossa mascellari e/o mandibolari. Grazie alla particolare tipologia di impianti specifici e al corretto posizionamento degli stessi, è possibile procedere direttamente con la fase protesica. L’intervento sarà completamente indolore grazie anche all’ausilio della sedazione cosciente (previa valutazione medica del nostro anestesista).



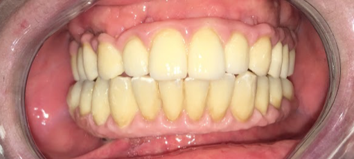
III fase, posizionamento della protesi sugli impianti: fase chirurgica: con il supporto del Laboratorio Odontotecnico Design Dentale (www.designdentale.it) e della Dottoressa Daniela Gasparini, entro poche ore saremo in grado di fissare gli elementi dentali direttamente sugli impianti inseriti durante la prima fase chirurgica. Ogni protesi è personalizzata e il risultato estetico sarà assolutamente naturale: questo è possibile anche grazie allo studio del caso preliminare effettuato pre-intervento con l’ausilio di foto ed impronte di ogni singolo paziente e tecnologia digitale CADCAM.



Perché affidarsi allo studio odontoiatrico Gasparini ?
Nel carico immediato siamo dei veri esperti!
Abbiamo una esperienza Implantare trentennale. Abbiamo utilizzato tutti i tipi di impianti esistenti in commercio a cominciare dagli impianti iuxtaperiostei fino a giungere agli impianti Zigomatici e dai miniimpianti con una percentuale di successo superiore al 98%. Il Prof. Giulio Gasparini ha organizzato Corsi e Master Universitari nei quali ha formato centinaia di odontoiatri implantologi in tutta Italia.


Cosa ti offriamo di diverso?
Un'offerta All Inclusive, senza sorprese e con tanti vantaggi.

Studio dettagliato del caso, con tecnologia CAD-CAM
Ci preoccupiamo di rendere ogni lavoro unico, diverso e personalizzato. Perchè ogni sorriso e ogni bocca è differente. Ti verranno prese delle impronte preliminari che verranno inviate al laboratorio; Verranno scattate delle foto per analizzare al meglio la fisionomia del viso; Ti verrà fatto scegliere il colore dei nuovi denti che preferisci e che meglio si sposa con le caratteristiche estetiche della persona.
La protesi che ti verrà consegnata il giorno dell’intervento, anche se provvisoria, dovrà essere quanto più possibile perfetta e rispecchiare in pieno i desiderei e le aspettative del paziente

Equipe esperta a 360°:
Durante un intervento di carico immediato non è fondamentale solo la bravura del Chirurgo che opera ma anche tutte le persone che lo supportano.
Il Chirurgo sarà sempre affiancato da un protesista esperto in protesi da carico immediato e dai tecnici del laboratorio che realizzano manufatti da carico immediato da tantissimi anni e con la massima qualità. Per fare in modo che vada tutto alla perfezione, non sono importanti solo gli impianti ma anche le protesi fisse che vengono avvitate sugli stessi.
Massima assistenza in caso di problemi:
Una volta eseguito l’intervento, la fase di adattamento iniziale è molto importante. Ci si deve abituare a mangiare e parlare con i nostri nuovi denti e anche i piccoli disagi vanno eliminati. Ogni giorno potrai venire in clinica per eseguire anche piccoli ritocchi e troverai sempre un Medico pronto ad intervenire ed aiutarti.

Garanzie:
Le nuove protesi fisse, soprattutto quelle iniziali provvisorie, possono andare incontro a rotture o riparazioni. Non ti verrà chiesto di pagare nulla. Per i primi 6 mesi dal giorno dell’intervento, le protesi provvisorie sono garantite per ogni tipo di problema e non dovrai affrontare nessun costo aggiuntivo.
Anche per le protesi definitive, che avranno la barra in titanio o cr-co di rinforzo, ti verrà rilasciata la certificazione 93/42 e la garanzia dal laboratorio sulla durata delle stesse.
Hai dei dubbi?
Ti forniamo tutte le risposte di cui hai bisogno!
Se prenoto la prima visita, cosa succede?
La prima visita è gratuita. Verrai contatto dallo Studio per fissare un appuntamento.
Come si svolge la prima visita?
La visita iniziale ha in genere una durata di circa 30 minuti. Sarà il chirurgo ad accoglierti per procedere con una visita accurata in ogni aspetto: ti sarà richiesto di compilare una anamnesi medica che ci permetta di conoscere al meglio il tuo stato di salute e verranno svolti gratuitamente tutti gli esami radiografici necessari ad approfondire la tua situazione.
Cosa succede se la mia situazione clinica non mi permette di procedere con il carico immediato?
Lo specialista che ti visiterà sarà pronto a consigliarti eventuali soluzioni alternative al carico immediato.
Se decido di proseguire con l’intervento di carico immediato posso pagare a rate?
Assolutamente SI!
Potrai accedere ad un finanziamento agevolato a tasso zero. In fase di visita ti verranno spiegati nel dettaglio i vari metodi di pagamento a cui poter accedere.
Costa molto?
I nostri costi sono nella media del mercato. I costi sono dovuti alla qualità dei materiali che viene fornita e dall'eccellanza del servizio offerto. Tutti i nostri prodotti appartengono alla fascia di prima qualità del mercato odontoiatrico ma nonostante questo i costi per il paziente rimangono in un range di di accettabilità che stiamo attenti a non oltrepassare.
Se lascio i miei dati e prenoto la visita, sono obbligato a fare per forza il lavoro?
Assolutamente no!
Comunque noi siamo seri e pretendiamo altrettanta serietà dai nostri pazienti. Se non venite all appuntamento vi preghiamo di avvisarci perché anche noi abbiamo di meglio da fare.
Come posso avere un preventivo dettagliato?
Il giorno stesso della prima visita gratuita ti sarà fornito un preventivo dettagliato con gli importi totali alle migliori condizioni di mercato e con le varie tipologie di pagamento disponibili.
La consegna del preventivo non è vincolante e avrai il tempo di decidere con calma se sottoporti all’intervento.
Come faccio a prenotare la visita?
Prenotare la visita è semplicissimo, basta chiamare il numero 0630816037 o scrivere una mail a studiodentisticogasparini@yahoo.it e verrete immediatamente ricontattati da una nostra operatrice.


Pacchetto Implantologia a Carico Immediato
Spesso non viene indicato che, nel carico immediato, c’è bisogno di una doppia protesi: una provvisoria fissa in resina che viene applicata il giorno dell’intervento e una definitiva con barra in titanio o cr-co che viene applicata dopo sei mesi. Quest’ultima sarà molto più resistente e molto più duratura e andrà a rimpiazzare la protesi fissa provvisoria iniziale.
Nel preventivo che ti verrà consegnato sarà tutto compreso: intervento completo con entrambe le protesi, senza sorprese e senza nuove spese successive. Denti nuovi, fissi e definitivi!
Controlli gratuiti e sedute di igiene orale scontate
Come ogni nuovo “acquisto”, anche i tuoi nuovi denti fissi da carico immediato vanno preservati nel tempo. Ci saranno da effettuare delle pulizie degli impianti, delle pulizie delle protesi fisse avvitate, controlli annuali: nessun problema!
I controlli, comprensivi di esami radiografici, saranno sempre gratuiti e le sedute di pulizie ti verranno proposte sempre a tariffa agevolata.
Potrai anche decidere di acquistare un pacchetto garanzia e manutenzione che ti permetterà di stare ancora più tranquillo.

I Nostri numeri nell'implantologia a carico immediato.
- 1200 impianti caricati immediatamente dopo l'inserimento con una percentuale di successo superiore 98%
- Oltre 4000 pazienti operati con successo
- Oltre 10000 impianti inseriti
Denti finalmente fissi e consegnati in poche ore.